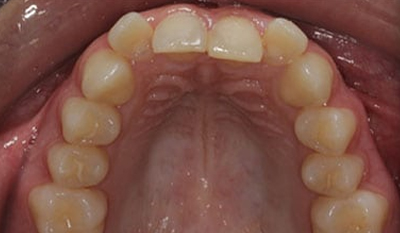
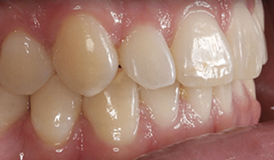
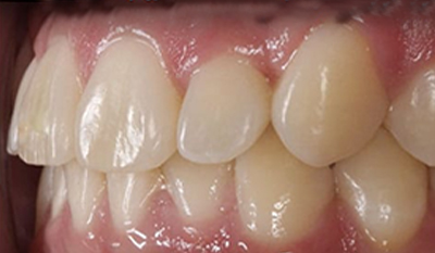
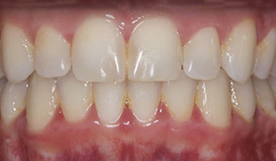
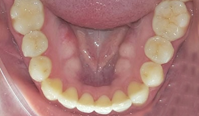
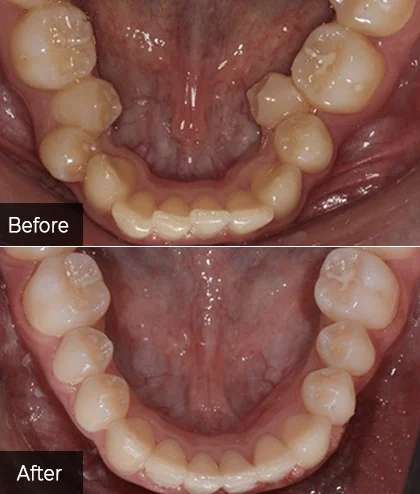
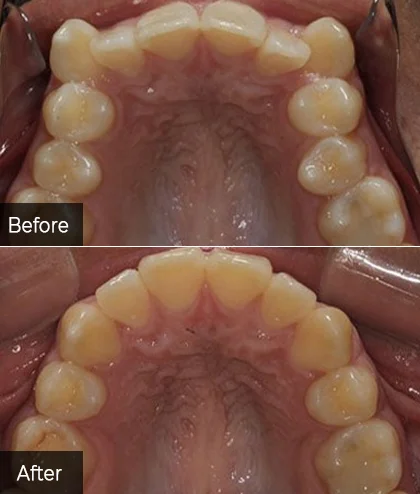
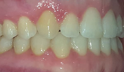
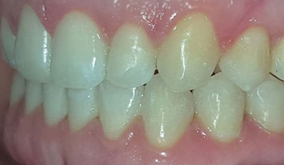
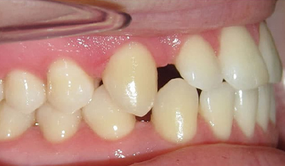
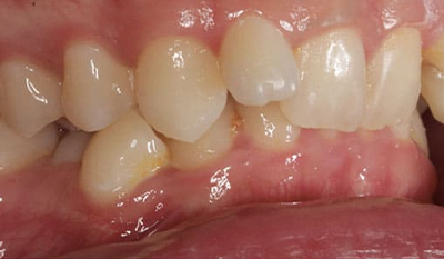
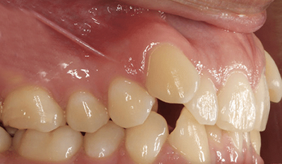
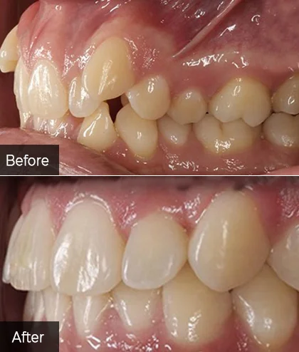
Our Success Stories

Free Consult
561-964-5200
Orthodontist in professional attire smiling at camera in modern dental office setting.